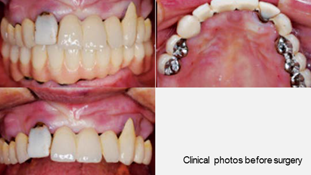
Klinik vaka: Üst tam edentül vakada immediat yükleme için AnyRidge implant ile fuse abutment kullanımının avantajı
- Dr. Kwang Bum Park’ın izniyle -
Anahtar Kelimeler
AnyRidge, fuse abutment, immediat yükleme, maksiller tam edentül vaka, primer stabilite, zirkonya kişiye özel abutmentlar, PMMA geçici köprü, CAD/CAM tekniği, edentül, Dr. Kwang Bum Park
Ürünler:
AnyRidge implant sistemi, fuse abutment
“AnyRidge, tam ağız rehabilitasyon vakasında
zirkonya protez ile mükemmel estetik sonuçlar göstermektedir.”
Klinik vaka: AnyRidge implantlar ile doğal dişlerden all-on-6 köprülere tam geçiş
- Dr. Rabih Abi Nader’ın izniyle, BAE -
Anahtar Kelimeler
Tam ağız rehabilitasyonu, minimal katmanlama, zirkonya, all-on-6, hayat değiştirici sonuç, edentül, Dr. Rabih Abi Nader, AnyRidge
Ürünler:
AnyRidge implant sistemi
“AnyRidge, üst tam edentül vakalarda
immediat yükleme sonrasında
mükemmel primer stabilite ve stabil sonuçlar göstermektedir.”
Klinik vaka: Üst maksillada tüm dişlerin çekimi,
immediat implant yerleştirilmesi ve geçici restorasyon
- Dr. Iulian Filipov’un izniyle, Romanya -
Anahtar Kelimeler
AnyRidge, immediat yerleştirme, immediat geçici restorasyon, maksiller tam edentül vaka, primer stabilite, edentül, Dr. Iulian Filipov, R2GATE, MEGA ISQ
Ürünler:
AnyRidge implant sistemi, Mega ISQ, R2GATE
“AnyRidge, tam ağız rehabilitasyon vakalarında bile
uzun dönem biyolojik stabilite
ve fonksiyonelliği güvence altına alır.”
Klinik vaka: Mandibula ve maksilla için tam ağız implant tedavisi – karma protezler kullanılarak restore edilmiştir
- Dr. Hyun Jun Kim’in izniyle, Kore -
Anahtar Kelimeler
AnyRidge, tam ağız implantları, mandibula, maksilla, edentül, tam ağız rehabilitasyonu, Octa abutment, uzun dönem klinik vaka, biyolojik stabilite, Dr. Hyung Jun Kim
Ürünler:
AnyRidge implant sistemi

Primer stabilite nasıl artırılabilir?
Primer stabilite, özellikle düşük kaliteli kemik varlığında büyük önem taşır. Dental implantların instabilitesi, fibröz enkapsülasyona ve başarısız osseointegrasyona yol açar (Lioubavina-Hack ve ark. 2006). Primer stabiliteyi artırmanın bir yolu, implant yerleştirilmesinde kullanılan cerrahi tekniğin modifiye edilmesidir. Son frez çapının implant çapından daha küçük olduğu undersize cerrahi tekniğin, press-fit tekniğe kıyasla daha yüksek primer stabilite sağladığı bildirilmiştir (Tabassum ve ark. 2009, Tabassum ve ark. 2010a).
Diğer çalışmalar, kemik delme tekniğine kıyasla kemik kondenzasyon teknikleriyle (Fanuscu ve ark. 2007, Markovic ve ark. 2011) ve osteotom tekniğine kıyasla konvansiyonel tekniklerle (Cehreli ve ark. 2009, Padmanabhan ve ark. 2010) daha yüksek implant stabilitesi elde edildiğini göstermiştir. Farklı vida derinliklerine sahip titanyum (Ti) implantların stres dağılımı da, kemikte en etkili stres dağılımını sağlayan vida derinliğini belirlemek amacıyla sonlu elemanlar analizi (FEA) kullanılarak incelenmiştir (Ao ve ark. 2010, Chun ve ark. 2002, Kong ve ark. 2008).
Vida derinliğinin, kemik üzerindeki stres dağılımına katkısının vida genişliğine kıyasla daha fazla olduğu da bildirilmiştir (Kong ve ark. 2008).
Daha derin vida derinliğine sahip Ti implantlar, daha geniş bir yüzey alanı sunar; bu da düşük kaliteli kemik bölgelerinde stabilitenin artırılması açısından avantaj sağlar (Abuhussein ve ark. 2010). Derin vida profiline sahip Ti implantlar ayrıca düşük kaliteli kemikte daha fazla yük taşınmasını ve mekanik kilitlenmeyi kolaylaştırır.
Primer stabiliteyi artırmanın bir diğer yolu ise implant tasarımının değiştirilmesidir; buna implant gövde ve vida şekli, uzunluk ve çap dahildir. Konik implantlar için farklı vida tasarımlarının ve diğer dental implant tasarımlarının primer stabiliteyi etkilediği daha önce bildirilmiştir. Konik implantlar, silindirik implantlara kıyasla daha yüksek primer stabilite göstermektedir (Kim ve ark. 2009, Sakoh ve ark. 2006, Wilmes ve ark. 2008).
Buna ek olarak, uzun boylu veya geniş çaplı dental implantlar, anlamlı derecede daha yüksek yerleştirme torku göstermektedir (Kim ve ark. 2009, Wilmes ve ark. 2008). Ayrıca, self-tapping (kendinden diş açan) bıçaklara sahip olmayan dental implantlar, self-tapping bıçaklara sahip implantlara kıyasla daha yüksek primer stabilite göstermektedir (Kim ve ark. 2011).

Farklı implant gövdesi vida (diş) desen tipleri

MegaGen’in KnifeThread® tasarımı
tamamen farklı bir ISQ paterni oluşturur!!
KnifeThread®
sürdürülebilir implant stabilitesini garanti eder

MegaGen’in benzersiz KnifeThread® ve üstün self-tapping tasarımı sayesinde, kemik kalitesinin zayıf olduğu tüm durumlarda daha iyi primer stabilite elde edilebilir.
Bu tasarım; kemik kondenzasyonunu, nazik ridge genişlemesini, basınç kuvvetine karşı maksimum direnci ve kesme kuvvetlerinin minimuma indirilmesini sağlar.
Dental implantlar için ideal yüzey nedir?
Osseointegrasyon kavramının 1960’lı yıllarda Branemark tarafından ortaya konulmasından bu yana, öncelikli olarak osseointegre implantlar dental tedavilerde önerilmekte ve yüksek implant başarı oranları bildirilmektedir. Başarılı bir osseointegrasyon için ön koşul, implant yerleştirildikten sonra sağlanan primer stabilitedir; bu durum implantın yüzey özellikleri ve morfolojisine ile cerrahi bölgedeki kemik yoğunluğuna bağlıdır.
Son yıllarda hızlı ve güçlü osseointegrasyonu kolaylaştırmak amacıyla çeşitli yüzey işlem yöntemleri üzerinde çalışmalar yapılmaktadır. Yüzey pürüzlülüğü ve topografisine bağlı olarak, yüzey kimyası osseointegrasyon açısından önemli bir rol oynamaktadır. Titanyum (Ti) ve Ti alaşımları biyoinert yüzeylerdir ve kemikle doğrudan bağ kuramazlar. Yüzey reaktivitesini artırmanın bir yolu, Ti yüzeyinin nanoyapılı kalsiyum ile kaplanmasıdır. Çok sayıda in vitro ve in vivo çalışma, nanoyapılı kalsiyum kaplamanın etkinliğini ortaya koymuştur.
Örneğin, in vitro çalışmalar kalsiyum iyonları kullanılarak yapılan yüzey modifikasyonunun osteoblastik hücrelerin büyümesini artırdığını ve simüle edilmiş vücut sıvısı içinde Ti yüzeylerinde apatit çökelimini teşvik ettiğini bildirmiştir. Ayrıca, kalsiyum içeren Ti yüzeylerine hücre adezyonunun insan alveolar kemik hücreleri ve MG-63 hücrelerinde azaldığı, insan osteoblastlarında ise arttığı gösterilmiştir. Birçok in vivo çalışmada, hidrotermal işlem yoluyla Ti implantlara kalsiyum eklenmesinin, tedavi edilmemiş Ti implantlara kıyasla tavşan modellerinde BIC (%) oranını artırarak osseointegrasyonu uyardığı rapor edilmiştir.

Farklı yüzey işlemleri
Yüzey işlem teknolojisi
mükemmel sonuçları garanti eder.

1. Ca2+ ile zenginleştirilmiş S-L-A yüzeyine sahip nano kemik matriks tabakası
2. Hızlı ve güçlü osseointegrasyon
3. Daha yüksek güvenlik için çift kontrol sistemi
Ca2+, CaTiO3 nano-yapısı oluşturmak üzere implant gövdesi yapısına entegre edilmiştir. Bu yapı, Ca2+ iyonları ile benzersiz ve homojen bir nano-yapı oluşturarak canlı dokularda osteoblast aktivasyonunu destekler.














































































